Laura C. Cuddy MVB MS DACVS-SA DECVS DACVSMR DECVSMR MRCVS and Turlough McNally MVB DACVS-LA DECVS MRCVS, Veterinary Specialists Ireland, Summerhill, Co Meath, discuss when each advanced modality should be considered.
Computed tomography (CT) and magnetic resonance imaging (MRI) are two advanced imaging modalities that are becoming more widely accessible in veterinary medicine. CT was first introduced to human medicine in the 1970s and uses ionising radiation or x-rays to produce cross-sectional 2D and reconstructed 3D images of internal body structures. Tissue attenuation in CT is similar to conventional x-rays, with bone and calcified material appearing bright and gas dark.
MRI first became available in human medicine in the 1980s and uses powerful magnetic fields and radiofrequency pulses to produce detailed images. Reading MRI images is more challenging, as different tissues appear in a manner of ways, depending on the sequence that has been run. Access to MRI in veterinary medicine has traditionally been challenging due to high purchase and running costs. MRI units differ in the strength of their magnetic field, rated in Tesla (T). Currently, 1.5T or high field magnets are standard of care in veterinary medicine.
CHOOSING MRI OR CT
While both CT and MRI provide 3D cross sectional images, there are significant differences in the information that can be acquired. The dilemma of whether to choose MRI or CT is quite common, and occasionally both modalities are used in a complementary fashion to achieve a diagnosis, for example, spinal fractures. Optimisation of diagnosis can only be achieved if the specific modality is chosen for the correct indication, i.e., MRI is not better for every condition. In a case where MRI is recommended but cannot be performed due to financial or other constraints, CT may be utilised, however, the client should be forewarned the results may be non-specific/ inconclusive.
Figure 1. CT is superior for evaluating bony structures, like this large skull tumour (A), whereas MRI provides better soft tissue resolution, particularly in the CNS, as in this feline meningioma (B).
When deciding between CT and MRI it is important to consider the following questions.
What disease process is suspected, i.e., what soft tissue resolution and bony resolution is required?
CT is best for imaging bone and mineralised tissue, whereas MRI is superior for resolution of soft tissue lesions (see Figure 1). In general, MRI is preferred for imaging of the nervous system (brain, spine) and soft tissue (tendon, ligament), whereas CT is preferred for chest/abdominal imaging and evaluation of bone and joints.
How important are 3D reconstructions?
CT acquires axial ‘slices’ through the body and then using computer technology creates sagittal and coronal images. Therefore, CT loses a small amount of resolution in reconstruction of the two additional planes. CT images, however, can be rendered into a 3D animation, which is a very helpful tool for surgeon orientation, particularly for complicated fractures (see Figure 2). MRI acquires images in all three planes which overall means a higher resolution. However, MRI images cannot as easily be rendered into 3D animations.
What disease process is suspected, i.e., what soft tissue resolution and bony resolution is required?
CT is best for imaging bone and mineralised tissue, whereas MRI is superior for resolution of soft tissue lesions (see Figure 1). In general, MRI is preferred for imaging of the nervous system (brain, spine) and soft tissue (tendon, ligament), whereas CT is preferred for chest/abdominal imaging and evaluation of bone and joints.
How important are 3D reconstructions?
CT acquires axial ‘slices’ through the body and then using computer technology creates sagittal and coronal images. Therefore, CT loses a small amount of resolution in reconstruction of the two additional planes. CT images, however, can be rendered into a 3D animation, which is a very helpful tool for surgeon orientation, particularly for complicated fractures (see Figure 2). MRI acquires images in all three planes which overall means a higher resolution. However, MRI images cannot as easily be rendered into 3D animations.
Figure 2. A 3D rendering of C2 spinal fracture demonstrating fracture fragments, orientation and displacement, permitting accurate preoperative planning.
Is there any safety concern?
MRI does not require ionising radiation and is very safe for patients. It is vital all staff realise the magnet in an MRI scanner is always ‘on’, even when the machine is not scanning. No ferrous metallic objects can ever be brought close to the bore and MRI compatible equipment must be used. Patients or staff with pacemakers cannot enter the MRI room. Similarly, there can be some concerns with patients with ferrous metallic implants close to the proposed scan site.
Will finances allow for MRI?
Due to high purchase and operational costs, a veterinary MRI scan costs on average double that of a CT scan worldwide. If the cost of MRI would preclude further treatment, CT may be indicated, understanding any limitations that may exist.
Is the modality available in a timely fashion?
While access to CT has become more widely available in the past five years, access to MRI has largely been restricted due to availability. We have recently installed an on-site 1.5T MRI in our hospital, making access to both CT and MRI readily available for pets in Ireland.
Is the patient stable for a sedation or general anaesthetic?
CT has a rapid acquisition time, even for a full body CT, and, therefore, more areas can be rapidly screened. For this reason, CT is very useful for trauma patients in human, and more recently in veterinary, medicine. Due to the longer duration of scan (30-60 minutes), MRI has to be targeted to one to two specific areas, and accurate pre-scan lesion localisation is key. General anaesthesia is required for MRI, whereas CT may be performed under sedation or general anaesthesia.
CHOOSE A MODALITY
Brain lesion: MRI
MRI is overall preferable for imaging of the brain, as using a variety of MRI sequences can differentiate grey matter, white matter, nerves and cerebrospinal fluid (CSF). Contrast (gadolinium or similar) is given to enhance identification of neoplastic or inflammatory lesions. Specific lesions that may be identified include primary or metastatic brain tumours, encephalitis, vascular lesions or degenerative disorders. Whilst CT can identify some of these abnormalities, MRI is a much more sensitive tool.
Head trauma: CT <24 h, MRI > 24 h
CT will usually be performed within 24 hours of injury in a trauma situation, as acute haemorrhage can typically be identified. After 24 hours, MRI is a more useful modality.
Spinal cord disease: Usually MRI, CT in some cases
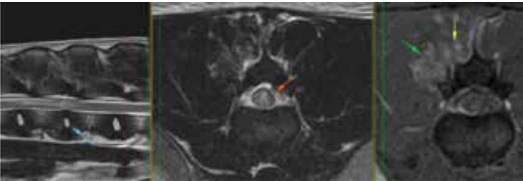
MRI is usually preferable in cases with spinal cord lesions, where availability and finances allow. Plain CT and CT myelogram can be utilised successfully in many acute disc extrusions to identify site and side. However, MRI may be necessary in cases where CT fails to identify the pathology and is more sensitive for cord pathology or for differentiating non-compressive lesions. MRI is preferable to identify disc protrusions, soft tissue tumours and intraparenchymal lesions such as acute non-compressive nucleus pulposus extrusion (ANNPE or hit and run disc) – see Figure 3, meningomyelitis or syringomyelia.
Figure 3. MRI performed in a one-year old Labrador with peracute-onset hindlimb paralysis. This patient had suffered a type 3 or ‘hit and run’ disc extrusion (acute non-compressive nucleus pulposus extrusion/ANNPE) at L1-2, with extensive spinal cord damage. CT myelogram would have offered a diagnosis of ‘non-compressive/nonsurgical lesion’ and would not have identified the specific type or extent of lesion in this case.
Table 1. Brief summary of differences of CT versus MRI.
CT
Radiation exposure (CT)
2-10 mSv, equivalent to three to five years background radiation
Safety concerns (CT)
Ionising radiation
Cost (CT)
Starts at €700 for two sites
Time required to complete scan (CT)
10-20 minutes
Restraint (CT)
Sedation or general anaesthesia
Application (CT)
Soft tissue evaluation
– spinal cord
– brain
– ligament/tendon
MRI
Radiation exposure (MRI)
None, no hazards
Safety concerns (MRI)
None, no hazards
Cost (MRI)
Starts at €1,400 for single site, without contrast
Time required to complete scan (MRI)
30-60 minutes
Restraint (MRI)
General anaesthesia
Application (MRI)
Soft tissue evaluation
– spinal cord
– brain
– ligament/tendon
Nasal and external ear disease: CT or MRI
Both MRI and CT can be used to diagnose nasal and external ear disease, however, due to cost-benefit ratio and ability to evaluate bone more clearly, CT is usually preferred.
Soft tissue neoplasia: Usually CT
CT is typically utilised to assess neoplasia outside of the CNS due to the ability to screen large areas easily for surgical planning and to assess for metastasis Subtle orthopaedic disease/musculotendinous injury: Usually MRI Whilst CT is excellent to assess subchondral joint lesions and general joint health, MRI is helpful in cases of suspected partial cranial cruciate ligament rupture, caudal cruciate ligament injury, meniscal tears, and cartilage injury. Similarly, soft tissue injury of the medial supporting structures of the shoulder is usually diagnosed with MRI, in combination with ultrasound and arthroscopy.
Thoracic and abdominal imaging:
CT remains more sensitive. MRI is limited due to inherent movement of chest wall; this movement can be mitigated with advanced techniques.
General trauma imaging: CT
CT is preferable for spinal fractures, suspected bony neoplasia or malformation.
TAKE HOME MESSAGES
- Both CT and MRI are now readily accessible for pets in Ireland.
- CT and MRI are both excellent advanced imaging modalities that have significantly enhanced our ability to achieve an accurate diagnosis and optimise treatment strategies in dogs and cats.
- MRI and CT offer various advantages, and careful consideration should be taken to weigh up the cost-benefit ratio of each modality for each specific patient.




